O mutaţie cromozomială reprezintă o schimbare care nu poate fi prezisă şi ce are loc în interiorul unui cromozom. Aceste schimbări au loc cel mai des datorită problemelor ce apar în procesul de diviziune celulară numită meioză sau în urma influenţei factorilor mutageni, precum chimicalele sau radiaţiile.

Mutaţiile cromozomiale pot duce la modificări ale numărului de cromozomi dintr-o celulă sau la apariţia modificărilor în structura unui cromozom. Spre deosebire de mutaţiile genetice, care afectează o singură celulă sau un segment mai mare de ADN dintr-un cromozom, mutaţiile cromozomiale modifică şi au un impact major asupra întregului cromozom.
Cromozomii reprezintă agregate de gene, lungi şi fibroase, ce transportă informaţia ereditară. Aceştia sunt formaţi din cromatină, o masă de material genetic ce constă în ADN-ul care e încolăcit strâns în jurul unor proteine numite histone. Cromozomii sunt situaţi în nucleul celulelor noastre, care este condensat înaintea procesului de diviziune celulară.
Mutaţiile cromozomiale sunt de două feluri. Unele pot fi mutaţii cromozomiale numerice şi celelalte mutaţii cromozomiale de structură.
În cazul mutaţiilor cromozomiale, ceea ce contează este numărul cromozomilor prezenţi, problemele apărând când acest număr este mai mare sau mai mic decât cel normal. Numărul de cromozomi prezenţi în nucleul celulelor somatice este numit cariotipul unei specii. Cariotipul uman este alcătuit din 46 de cromozomi organizaţi în 23 de perechi. Fiecare celulă umană conţine 22 de perechi de autozomi şi o pereche de cromozomi sexuali. Într-o pereche de cromozomi unul provine de pe linie maternă, iar celălalt de pe linie paternă.
Un set de 23 de cromozomi constituie numărul haploid şi corespunde numărului de cromozomi dintr-un gamet. În procesul de fertilizare două seturi haploide se alătură şi formează zigotul cu 46 de cromozomi (setul diploid). Erorile ce apar în diviziunea celulară pot genera seturi care au mai mult sau mai puţin de 46 de cromozomi. Prezenţa unui multiplu exact al unui set haploid este denumită euploidie; prezenţa în plus sau minus a cromozomilor e numită aneuploidie.
Diploidia reprezintă o formă de euploidie. Poliploidiile anormale includ triploidia (63 cromozomi) şi tetraploidia (92 cromozomi) şi sunt aberaţii incompatibile cu viaţa.
Aneuploidia are ca mecanism de producere nondisjuncţia (lipsa de separare a cromozomilor) şi poate apărea în meioză sau mitoză. În general este afectată o singură pereche de cromozomi. Nondisjuncţia mitotică precoce poate da naştere unei aberaţii cromozomiale prezente în toate celulele organismului iar erorile de diviziune ce apar mai târziu duc la apariţia a două linii celulare ce diferă printr-un cromozom. Aneuploidiile pot fi de două feluri – autozomale şi ale cromozomilor sexuali.
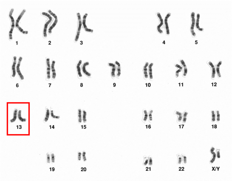
Aneuploidiile autozomale au ca efect cea mai obişnuită cauză de retard mental, sindromul Down (trisomia 21). În aproximativ 92,5% din cazuri, pacienţii ce suferă de sindromul Down prezintă 47 de cromozomi ca urmare a unei nondisjuncţii apărute în meioză. Mai există trisomia 13 – sindromul Patau şi trisomia 18 – sindromul Edwards.
Aneuploidiile cromozomilor sexuali sunt relativ frecvente şi sunt mai puţin severe în comparaţie cu cele autozomale. Bărbaţii pot suferi de sindromul Klinefelter având tendinţa să fie mai înalţi şi mai slabi şi să sufere de infertilitate. Femeile pot suferi sindromul Turner, având o statură mică, tulburări de învăţare şi infertilitate.
Anomaliile cromozomiale structurale sunt reprezentate prin mai multe tipuri.
Unul dintre ele îl reprezintă deleţia, adică pierderea unei porţiuni dintr-un cromozom. Aceste anomalii pot fi terminale sau interstiţiale.
Duplicaţia este un alt tip, în care apare prezenţa unei copii suplimentare a unui segment cromozomial, iar cu cât segmentul duplicat este mai mare, cu atât anomaliile clinice vor fi mai severe.

Inversia este un alt tip de anomalie în care segmente cromozomiale sunt amplasate în poziţii inverse faţă de configuraţia normală; purtătorii de inversii prezintă adesea infertilitate sau pierderi de sarcină.
Translocaţia clasică este rearanjarea ce implică unul sau mai mulţi cromozomi neomologi. Fiecare cromozom prezintă un singur punct de ruptură iar segmentele rezultate îşi schimbă locul între ele generând doi sau mai mulţi cromozomi derivaţi. Principala problemă o reprezintă riscul anomaliilor la concepţie.
Translocaţia robertsoniană se produce între doi cromozomi prin pierderea unui segment din braţele scurte şi păstrarea celor lungi. Această anomalie nu prezintă consecinţe clinice pentru purtători, dar aceştia pot da naştere unor copii cu sindromul Down.
Izocromozomul reprezintă un cromozom ce apare în urma unei erori de diviziune, rezultând astfel doi cromozomi derivaţi. Cel mai cunoscut este izocromozomul braţului lung al cromozomului X, care poate duce la apariţia sindromului Turner.
Nu în ultimul rând, mai există două alte anomalii structurale – cea a cromozomului inelar, când se pierde material genetic la capetele cromozomului şi are loc o fuziune circulară şi cea cromozomului marker, unde un cromozom cu centromer e transmis stabil dar nu poate fi identificat în mod clar deoarece este prea mic.
















